- Home
- Smile Gallery
Smile Gallery
Discover how our expert clinicians transform smiles every day. Every transformation reflects our commitment to exceptional private dental care, delivered with meticulous planning and advanced techniques.
Smile Gallery
Your Smile Could Be Next
If you’re ready to begin your own transformation, our team is here to guide you through every step. Book your private consultation online and start your journey towards a healthier, more confident smile.

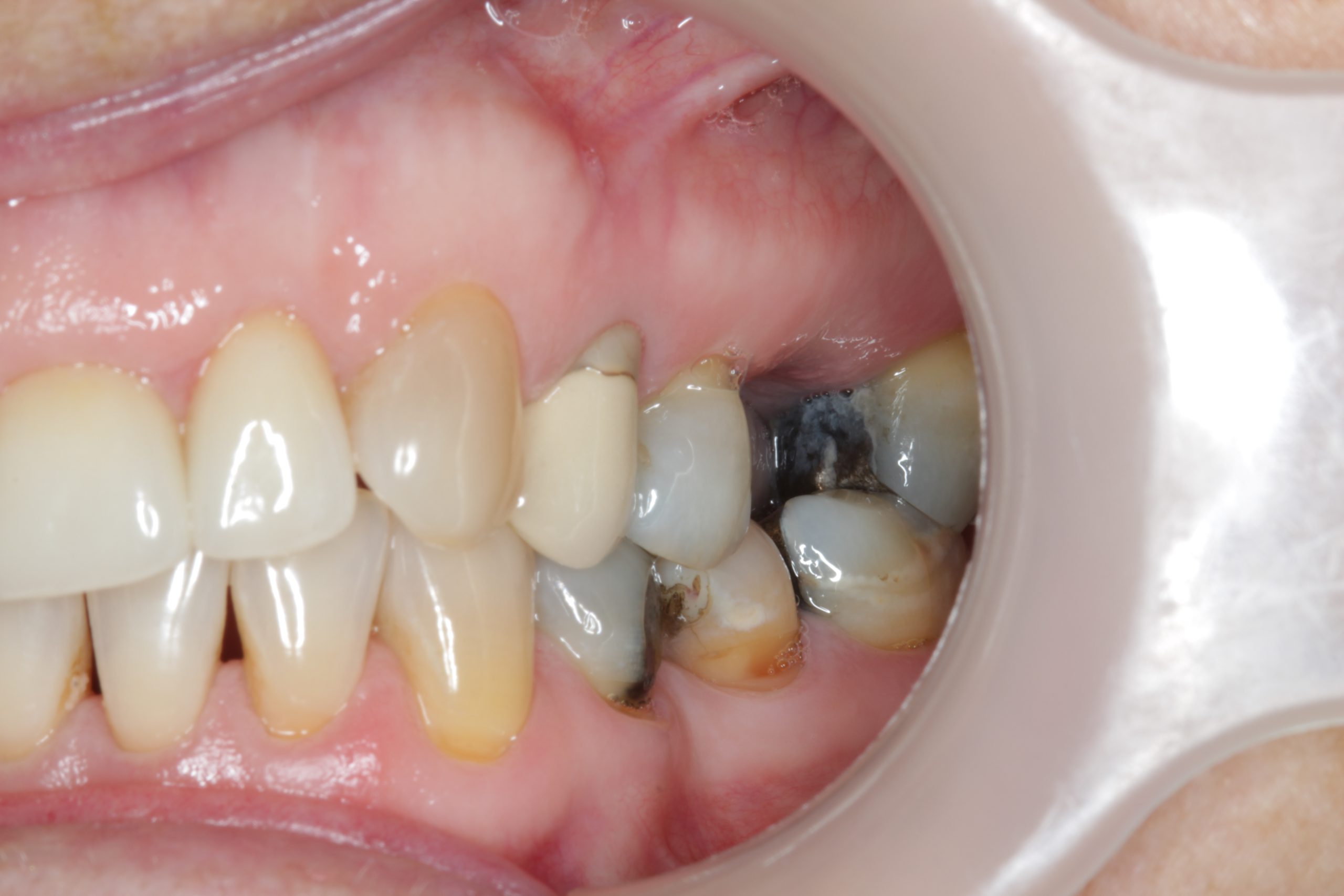
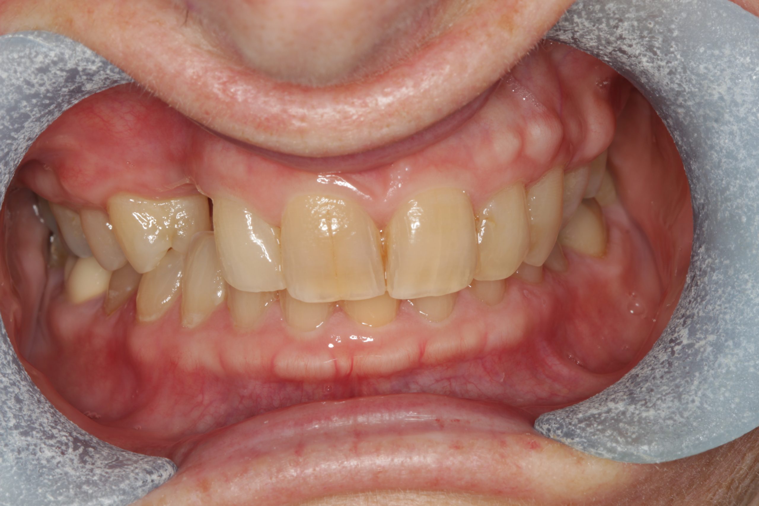
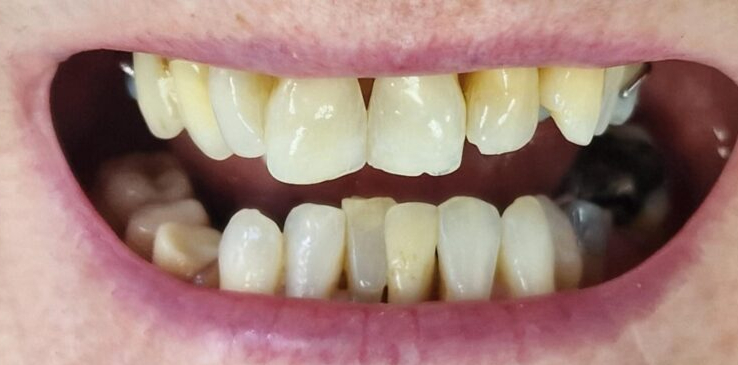
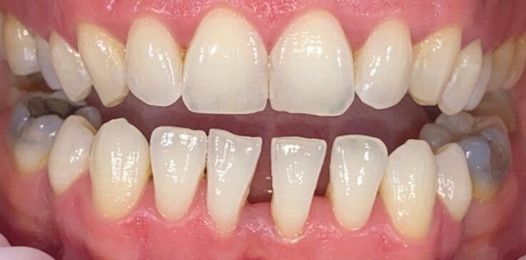
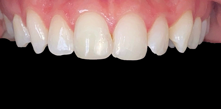
Patient Name: Saikat Kundu
Wow what an amazing transformation! In just 3 months this beautiful lady has had her smile made over. Doctor Robinson achieved this with the 6 month smiles brace system.
Service: Dental Implants

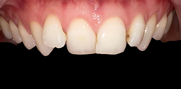
Patient Name: Saikat Kundu
Wow what an amazing transformation! In just 3 months this beautiful lady has had her smile made over. Doctor Robinson achieved this with the 6 month smiles brace system.
Service: Dental Implants

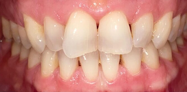
Patient Name: Saikat Kundu
Wow what an amazing transformation! In just 3 months this beautiful lady has had her smile made over. Doctor Robinson achieved this with the 6 month smiles brace system.
Service: Dental Implants

Patient Name: Saikat Kundu
Wow what an amazing transformation! In just 3 months this beautiful lady has had her smile made over. Doctor Robinson achieved this with the 6 month smiles brace system.
Service: Dental Implants

Patient Name: Saikat Kundu
Wow what an amazing transformation! In just 3 months this beautiful lady has had her smile made over. Doctor Robinson achieved this with the 6 month smiles brace system.
Service: Dental Implants

Patient Name: Saikat Kundu
Wow what an amazing transformation! In just 3 months this beautiful lady has had her smile made over. Doctor Robinson achieved this with the 6 month smiles brace system.
Service: Dental Implants

Patient Name: Arun Kumar
Wow what an amazing transformation! In just 3 months this beautiful lady has had her smile made over. Doctor Robinson achieved this with the 6 month smiles brace system.
Service: Dental Implants

Patient Name: Arun Kumar
Wow what an amazing transformation! In just 3 months this beautiful lady has had her smile made over. Doctor Robinson achieved this with the 6 month smiles brace system.
Service: Dental Implants

Patient Name: Saikat Kundu
Wow what an amazing transformation! In just 3 months this beautiful lady has had her smile made over. Doctor Robinson achieved this with the 6 month smiles brace system.
Service: Dental Implants

Patient Name: Saikat Kundu
Wow what an amazing transformation! In just 3 months this beautiful lady has had her smile made over. Doctor Robinson achieved this with the 6 month smiles brace system.
Service: Dental Implants

Patient Name: Saikat Kundu
Wow what an amazing transformation! In just 3 months this beautiful lady has had her smile made over. Doctor Robinson achieved this with the 6 month smiles brace system.
Service: Dental Implants

Patient Name: Saikat Kundu
Wow what an amazing transformation! In just 3 months this beautiful lady has had her smile made over. Doctor Robinson achieved this with the 6 month smiles brace system.
Service: Dental Implants

Patient Name: Arundhati
Wow what an amazing transformation! In just 3 months this beautiful lady has had her smile made over. Doctor Robinson achieved this with the 6 month smiles brace system.
Service:Smile Makeover

Patient Name: Arundhati
Wow what an amazing transformation! In just 3 months this beautiful lady has had her smile made over. Doctor Robinson achieved this with the 6 month smiles brace system.
Service: Smile Makeover

Patient Name: Saikat Kundu
Wow what an amazing transformation! In just 3 months this beautiful lady has had her smile made over. Doctor Robinson achieved this with the 6 month smiles brace system.
Service: Dental Implants

Patient Name: Saikat Kundu
Wow what an amazing transformation! In just 3 months this beautiful lady has had her smile made over. Doctor Robinson achieved this with the 6 month smiles brace system.
Service: Dental Implants

Patient Name: Saikat Kundu
Wow what an amazing transformation! In just 3 months this beautiful lady has had her smile made over. Doctor Robinson achieved this with the 6 month smiles brace system.
Service: Dental Implants

Patient Name: Saikat Kundu
Wow what an amazing transformation! In just 3 months this beautiful lady has had her smile made over. Doctor Robinson achieved this with the 6 month smiles brace system.
Service: Dental Implants

Patient Name: Arundhati
Wow what an amazing transformation! In just 3 months this beautiful lady has had her smile made over. Doctor Robinson achieved this with the 6 month smiles brace system.
Service:Smile Makeover

Patient Name: Arundhati
Wow what an amazing transformation! In just 3 months this beautiful lady has had her smile made over. Doctor Robinson achieved this with the 6 month smiles brace system.
Service: Smile Makeover

Patient Name: Saikat Kundu
Wow what an amazing transformation! In just 3 months this beautiful lady has had her smile made over. Doctor Robinson achieved this with the 6 month smiles brace system.
Service: Dental Implants

Patient Name: Saikat Kundu
Wow what an amazing transformation! In just 3 months this beautiful lady has had her smile made over. Doctor Robinson achieved this with the 6 month smiles brace system.
Service: Dental Implants

Patient Name: Saikat Kundu
Wow what an amazing transformation! In just 3 months this beautiful lady has had her smile made over. Doctor Robinson achieved this with the 6 month smiles brace system.
Service: Dental Implants

Patient Name: Saikat Kundu
Wow what an amazing transformation! In just 3 months this beautiful lady has had her smile made over. Doctor Robinson achieved this with the 6 month smiles brace system.
Service: Dental Implants

Patient Name: Jack Jonathan
Wow what an amazing transformation! In just 3 months this beautiful lady has had her smile made over. Doctor Robinson achieved this with the 6 month smiles brace system.
Service:Smile Makeover

Patient Name: Jack Jonathan
Wow what an amazing transformation! In just 3 months this beautiful lady has had her smile made over. Doctor Robinson achieved this with the 6 month smiles brace system.
Service: Smile Makeover

Patient Name: Saikat Kundu
Wow what an amazing transformation! In just 3 months this beautiful lady has had her smile made over. Doctor Robinson achieved this with the 6 month smiles brace system.
Service: Dental Implants

Patient Name: Saikat Kundu
Wow what an amazing transformation! In just 3 months this beautiful lady has had her smile made over. Doctor Robinson achieved this with the 6 month smiles brace system.
Service: Dental Implants

Patient Name: Saikat Kundu
Wow what an amazing transformation! In just 3 months this beautiful lady has had her smile made over. Doctor Robinson achieved this with the 6 month smiles brace system.
Service: Dental Implants

Patient Name: Saikat Kundu
Wow what an amazing transformation! In just 3 months this beautiful lady has had her smile made over. Doctor Robinson achieved this with the 6 month smiles brace system.
Service: Dental Implants

Patient Name: Ramanujan
Wow what an amazing transformation! In just 3 months this beautiful lady has had her smile made over. Doctor Robinson achieved this with the 6 month smiles brace system.
Service:Smile Makeover

Patient Name: Ramanujan
Wow what an amazing transformation! In just 3 months this beautiful lady has had her smile made over. Doctor Robinson achieved this with the 6 month smiles brace system.
Service: Smile Makeover

Patient Name: Saikat Kundu
Wow what an amazing transformation! In just 3 months this beautiful lady has had her smile made over. Doctor Robinson achieved this with the 6 month smiles brace system.
Service: Dental Implants

Patient Name: Saikat Kundu
Wow what an amazing transformation! In just 3 months this beautiful lady has had her smile made over. Doctor Robinson achieved this with the 6 month smiles brace system.
Service: Dental Implants

Patient Name: Saikat Kundu
Wow what an amazing transformation! In just 3 months this beautiful lady has had her smile made over. Doctor Robinson achieved this with the 6 month smiles brace system.
Service: Dental Implants

Patient Name: Saikat Kundu
Wow what an amazing transformation! In just 3 months this beautiful lady has had her smile made over. Doctor Robinson achieved this with the 6 month smiles brace system.
Service: Dental Implants













